临床医疗特色
背景介绍:
股骨近端包括股骨头、股骨颈以及股骨的粗隆部,是良性肿瘤尤其是瘤样病变的好发部位。主要以孤立性骨囊肿、骨样骨瘤、纤维结构不良等为主。良性肿瘤或肿瘤样病变是最常见的偶然发现的病变,在许多情况下,这些被称作为“沉默的病变”仅需要监视,而不是手术。不过作为负重关节的一部分,股骨的近端需要承受垂直应力及剪切应力,当这些病变位于股骨近端时容易产生病理性骨折,因此手术治疗往往是首选。而传统的手术方式包括刮除植骨内固定、骨水泥填充,极端的情况采用股骨近端关假体置换等,创伤较大,远期并发症如股骨头坏死、局部疼痛.松动翻修等,一直是骨肿瘤医生比较忌惮的手术部位。
病情介绍:
本例患者女性,42岁,因“右侧部酸痛不适2年”,反复于各大医院就诊,因对传统手术方案的担忧辗转至我院就诊。术前诊断明确为股骨近端良性肿瘤。为减少手术创伤、减少术后股骨头坏死、骨折等风险,采用导航下通道磨钻磨除病灶+内镜可视下自体路骨植骨术。
恢复情况:
患者术后两周下地,目前术后一月,骨折愈合良好,患者恢复行走。
病例回顾

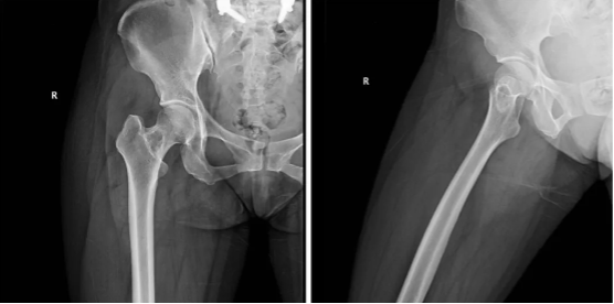
图1:术前X光片显示为右侧股骨颈部的边界清晰的骨质破坏

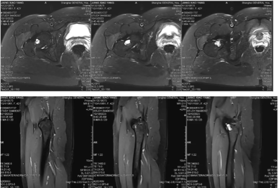
图2:术前MRI提示肿瘤为囊液性病灶为主,良性可能大

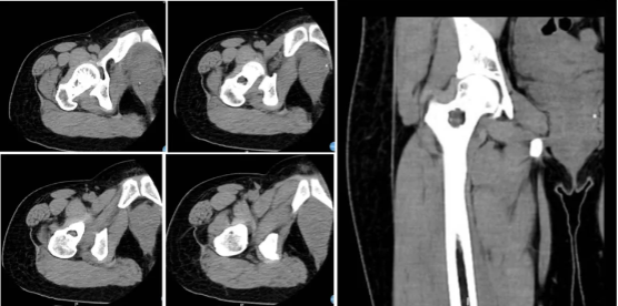
图3:CT显示病灶边界清晰,边缘樱硬化,支持良性肿瘤诊断

图4: 微创手术配置实时三维CT及最新美敦力S8导航

图5:手术体位及入路

图6:导航下一次穿刺到病灶,病灶磨钻清理,孔镜通道下可视化操作

图7:术后通道植骨满意

图8:术后一个月复查,骨折愈合良好
上海市徐汇区宜山东路7951号
13712345678
zhangss@yjs.edu