临床医疗特色
疾病介绍
软骨母细胞瘤(chondroblastoma)为良性肿瘤,占所有骨肿瘤的比例不到1%,常发生于儿童和青少年,好发于长骨的骨骺: 股骨、肱骨和胫骨。组织学上,软骨母细胞瘤由密集排列的软骨母细胞、多少不一的破骨细胞样巨细胞以及钙化的软骨样基质构 成,软骨母细胞瘤的瘤细胞核中可见H3.3 K36M阳性表达。治疗上彻底刮除并辅助瘤腔处理是主要治疗手段,由于病变常位于骺板附近,手术治疗可能影响骨骼发育。
病史介绍
男性、14岁,“左膝关节疼痛5个月”就诊,于当地医院就诊,拍片发现左胫骨近端关节面下占位,穿刺活检示:软骨母细胞瘤。于外院行经腘窝肿瘤刮除术。术后疼痛未见明显缓解,并逐渐出现左膝关节屈曲挛缩,遂至我院就诊。
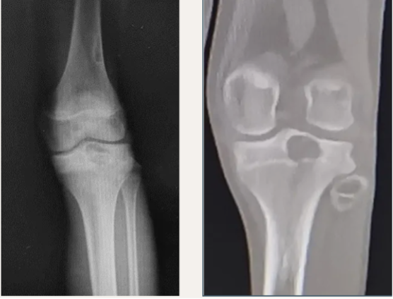
外院初诊影像:


读片:胫骨近端骨骺区密度不均匀透亮影,生长板以上地图样骨质破坏,直径约3cm,伴有薄层硬化边。磁共振上T1WI呈低或等信号,T2WI呈高低混杂不均匀信号,伴有骨髓水肿。
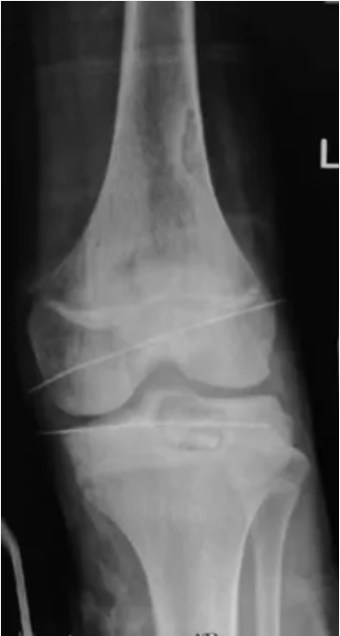
外院行经腘窝肿瘤刮除术,术后影像下显示:
X线片较术前未见明显改变,胫骨近端骨骺区不均匀透亮影,累及生长板。

诊疗过程
入院时体格检查:扶拐跛行,左膝关节后方及外侧见2处手术切口,左膝关节屈曲挛缩畸形,膝关节活动度(主动活动度:屈曲0-110度,伸直-45度)。

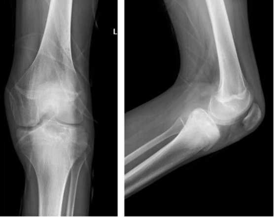
影像检查:

膝关节X线:左胫骨近端骨质密度不均影,可见溶骨性病灶改变,符合植骨后病灶复发。

CTA: 左侧胫骨平台可见团片状稍低密度骨质破坏影,直径约3cm,累及关节面,其内可见相邻腘动脉分支参与供血。

MRI:左侧胫骨上端占位,范围约30*30*20mm,T1WI等低信号,T2WI等高信号,边界较清楚,增强后轻度不均匀强化,周围骨髓及软组织肿胀。内外半月板、前后交叉韧带及内外侧副韧带形态、信号均未见异常。
手术方案
手术入路的选择:由于患者既往的膝关节后路手术史,前次手术解剖并显露腓总神经且并发膝关节屈曲挛缩,再行后侧入路神经损伤风险大,并将加重膝关节屈曲畸形。其次,肿瘤瘤体位置被后交叉韧带覆盖,显露困难且损伤韧带风险大;综合考虑选择前外侧入路安全性高。但外侧入路,骨窗厚达1.6公分,与骨骺距离近,容错率低。
生长潜力的保护:鉴于患者目前仍然处于青春发育期,术后生长板的损伤或将造成下肢不等长等严重并发症,如何在有效保护胫骨生长板的同时,实现肿瘤的彻底切除,面临挑战。骨骺及骨正常骨结构的保护对于患者远期功能尤为重要,但如何保证最小的骨结构损伤及肿瘤刮除彻底,传统透视定位开窗难以实现手术目标。本例术中应用O-Arm联合导航引导,导航下超声骨刀联合导航下磨钻,实现肿瘤精准定位刮除。超声骨刀在导航指引下以最小的骨窗,最小的骨丢失代价进入到瘤腔内,通过导航引导下精准磨钻清理残留病灶。
术前皮牵引:

手术方案:导航下超声骨刀开窗+导航下磨钻,实现肿瘤精准定位刮除

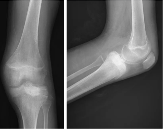
术后复片:左侧胫骨平台占位术后,内见高密度填充影,周围骨质内见隧道影。

康复方案:
1.术前行皮牵引:术前即开始皮牵引,增加膝关节间隙,拉伸周围挛缩的软组织,从而提高膝伸直角度,为术后加强康复打下基础。
2.健康宣教和心理支持:术后第一天,骨科康复治疗团队介入,为患者及家属讲解分析术后的康复问题和康复方案,取得理解和支持,并树立其康复信心,提高依从性。
3.良肢位摆放:指导患者术侧下肢抬高摆放,在枕头及垫子的辅助下尽可能保持中立位伸展,膝下空置不垫枕,借助自身重力进行膝关节伸展。
4.术后皮牵引及沙袋压膝:术后继续皮牵引,并在膝上方避开伤口,放置5斤沙袋进行压膝,每次10-20分钟,一天5-10次,根据实际情况适当调整强度。
5.关节及软组织松动:康复治疗师重点对膝后方挛缩软组织、膝关节髌骨、胫股关节等进行手法松动和按摩牵伸,降低软组织张力,提高关节活动能力。
6.出院居家康复指导:良好的居家康复是维持和加强康复效果的重要影响因素。康复团队继续远程指导患者居家康复,坚持牵引和压膝,必要时就近接受门诊康复治疗。每半月向骨科康复团队反馈进展。
术后1月复查:结合运动康复,患者膝关节屈曲畸形基本纠正。影像检查示左侧胫骨平台占位术后,内见高密度填充影,与周围骨质愈合较好。

总结
软骨母细胞瘤常常由于解剖位置特殊,导致手术困难,尤其是彻底刮除困难,从而导致肿瘤残留复发。详细的术前规划以及恰当的手术工具辅助,有助于手术目标的达成。该例患者初次手术后面临再次手术,如何保证手术肿瘤学的彻底以及神经、韧带功能的保护是关键。应用先进的影像引导设备及影像引导下的手术工具,解决了传统手术方式的难点问题,使患者取得了满意的治疗效果。
上海市徐汇区宜山东路7951号
13712345678
zhangss@yjs.edu