临床医疗特色
疾病介绍
骨样骨瘤是一种孤立性的成骨性肿瘤,为第三大常见的良性骨肿瘤,仅次于内生软骨瘤及非骨化性纤维瘤。好发于5-30岁的儿童与青年(男女比例3:1),通常发生在长骨的骨皮质中。使用CT以及核素骨扫描是骨样骨瘤诊断的主要手段。

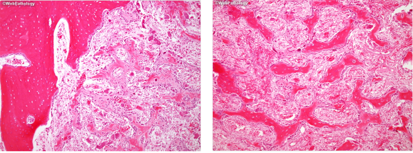
CT上显示为一个界限清晰的圆形或椭圆形软组织密度区。病变周围有反应性硬化,宏观上,骨样骨瘤是一个界限清晰的肿瘤,呈红色,质地柔软且易碎,直径为1.5-2厘米。(图片来源:WebPathology)

在组织学上,外围包绕有一层致密的成熟骨组织与中心明显区分开(左1/3)。高倍镜下可见中央病灶为网状的幼稚骨小梁结构,网的空隙由血管及纤维结缔组织占据。(图片来源:WebPathology)
骨样骨瘤的发病机制仍存在争议,亦有学者认为是一种特殊的炎症或愈合过程(瘤巢中极高的前列腺素水平)疼痛是主要症状,描述为钝痛、持续性疼痛和剧烈疼痛,严重程度不等,前列腺素是疼痛是主要原因,高浓度的前列腺素可导致病灶周围的结缔组织充血,压力诱发疼痛。
病史介绍
女性,11岁,因“右侧髋部疼痛1月”到当地医院就诊,行CT示右股骨颈骨样骨瘤。入院体格检查发现右侧髋关节静息痛,活动后疼痛加重,局部轻微扣痛,无压痛、轴向叩击痛。

读片:CT可见右侧股骨颈前方皮质的类圆形瘤巢,直径约8mm,边缘可见骨质硬化。MRI T2象示围绕瘤巢的高信号水肿带。
手术方案
患者年龄较小,病灶部位在股骨近端承重区域,活动后疼痛加重。手术尽量减少骨与软组织的破坏,经考虑使用术中O-arm联合导航下经皮Osteocool射频消融治疗,以最小的骨丢失以及软组织损伤风险,实现肿瘤的精准灭活。
参考架以及消融通道置入位置需要避开股骨近端重要血管神经,并且穿刺置入消融通道的操作过程不遮挡参考架的实时导航信号,本例参考架置于外侧偏下位置。消融通道于前外侧进针。

红:经皮射频消融穿刺点;黄:导航参考架置入点。


微创术后切口及术后X线片,术后病理示骨样骨瘤。
康复及随访
术后给予口服非甾体抗炎止疼药。术后当天予以卧床休息,第二天即可在助行器帮助下无负重站立。出院后居家康复注意1月内避免负重,术后1月行X片复查,并反馈进展。
总结
骨样骨瘤是临床上较为常见的骨良性肿瘤,传统开放手术因为损伤较大已经逐渐被微创方案替代,但常常由于某些好发部位的解剖学特点(如上述两个病例中都位于股骨颈承重区域),经皮微创至病灶较为困难,术者采取O-arm联合导航精准达到病灶,减少了手术时间、透视次数以及潜在的骨组织创伤。射频消融则采用目前先进的Osteocool双极射频消融针,具有精准的温控性能,维持消融温度于70摄氏度,并且可以控制消融范围,从而减少了潜在的软组织损伤。新技术的组合运用解决了传统手术方式的难点,患者快速康复,取得了满意的疗效。
上海市徐汇区宜山东路7951号
13712345678
zhangss@yjs.edu