临床医疗特色
奥运舞台,见证骨肉瘤治愈希望
四年一度的奥运会在法国巴黎进行,吸引着全世界的目光,各国运动员在“更高更快更强”的奥运精神激励下奋力拼搏如火如荼。奥运会被公认为全世界体育竞技的最高水平,是四肢健全的强者舞台。你相信骨肉瘤患者也能参加奥运会吗?张雪梅是中国轮椅篮球运动员,2009年不幸罹患左腿骨肉瘤而接受截肢治疗,经过3年的治疗和不屈的康复训练,于2015加入国家女子轮椅篮球队,曾代表中国对参加2020年东京残奥会女子轮椅篮球并获得银牌。她的成功不但证明了人类的顽强意志能克服肢体障碍勇攀高峰,同时也向世人展示了骨肉瘤是能够被治愈的。
随着近年来药物治疗、外科手术技术、假体制作工艺等技术的长足进步,骨肉瘤在可被治愈的基础上,还能保留肢体。骨肉瘤已摆脱“截肢或死亡”的刻板印象。
病例资料
刘某是众多成功治愈的骨肉瘤患者之一,初诊时是个只有12岁的小姑娘。
最初没有任何外伤等诱因下感觉右侧大腿进行性肿痛3月余来就诊。就诊时患者右大腿较对侧大腿显著肿胀,可见浅表静脉曲张,可及压痛,膝关节活动受限。
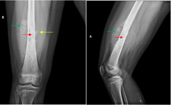
接受右侧股骨X线正侧位摄片发现股骨中下段骨质虫蚀样破坏、放射状骨膜反应和较大软组织肿块等恶性肿瘤征象。
立即入院行局麻下穿刺活检术,病理检查提示:(右侧股骨肿瘤穿刺标本)纤维及骨样组织中见梭形及上皮样细胞,轻到中度异型性,结合影像及免疫组化结果,符合骨肉瘤。免疫组化结果:SATB2(+),Ki67(20%+),P53(-),Desmin(-),S-100(-),CK(-),SMA(少数+),CD31(-),CD34(-),ERG(-)。全身检查无转移。经评估患者的肿瘤Ennecking分期为IIb期。

右股骨正侧位摄片可见股骨内虫蚀样破坏和肿瘤骨形成(红箭头),股骨表面放射状骨膜反应(黄箭头)和骨外的软组织肿物(绿箭头)。是恶性骨肿瘤(骨肉瘤)的典型征象
患者接受4个疗程MAP(甲氨蝶呤、表柔比星、顺铂)方案新辅助化疗后肿痛症状显著缓解,患肢周径缩小。在影像学检查上可见软组织肿块缩小,肿块内钙化增多,也代表了肿瘤活性下降。

骨肉瘤在MRI图像上呈现T1加权低信号(红箭头),T2加权等高信号(黄箭头),软组织肿块呈现弥漫性增强(绿箭头)。新辅助化疗后软组织肿块显著缩小,钙化明显(蓝箭头)。
手术方案
手术包括肿瘤切除和保肢重建两部分。肿瘤切除范围包括股骨瘤段、软组织肿块、以及周围累及的肌肉和软组织,整块切除不能相互分离。在广泛切除边缘切除肿瘤才能达到根治性切除的治疗目标.

整块切除(Enbloc)肿瘤累及的股骨、膝关节近端、软组织肿块和周围肌肉(红色虚线框)。右图为切除后的标本外观照,可见中上段表面深红色部分为与肿瘤相邻的肌肉组织
切除肿瘤后就需要进行保肢重建,这位病人只有12岁,骨骼还未发育完全,成人用的人工膝关节不适用于儿童。除了没有儿童特殊的小号尺寸,重建需要牺牲膝关节对侧的骨骺(生骨中心),儿童在发育时会产生双下肢不等长。所以我们根据患者下肢的CT数据建模,设计了可以保留胫骨侧骨骺的半膝关节假体,并3D打印订制个性化的膝关节假体。手术中将异体股骨干套接在假体插入杆,插入股骨残端髓腔内,通过填塞骨水泥固定。使用人工补片穿行假体内,与胫骨侧韧带残端缝合,重建膝关节周围的软组织稳定机制。

左图为CT图像3D建模,制定截骨平面,并测量各项数据。中间图为假体设计图。右图为术中假体实体安装图,结合套接异体骨段。
术后病理检查显示右侧股骨骨肉瘤新辅助化疗坏死率接近100%。切缘未见肿瘤累及。
术后随访
手术后患者恢复良好,佩戴膝关节支具伸直位固定2周后开始康复锻炼,并继续进行术后化疗6次后治愈结疗。

术后6个月患者已恢复膝关节正常功能,站立行走下蹲无障碍。能正常日常生活。

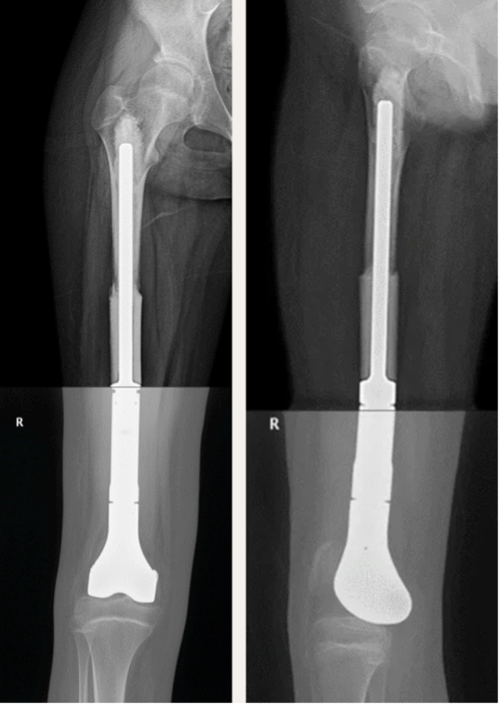
患者术后2年复查X线摄片图像,膝关节在位,异体骨已与股骨融合。
骨肉瘤Q&A
Q:骨肉瘤的治疗流程是什么?
A:骨肉瘤在病理活检确诊后即刻开始治疗,整个治疗流程分为四个阶段,第一阶段为新辅助化疗;第二阶段为手术切除肿瘤并重建肢体;第三阶段为术后化疗;第四阶段为结疗后定期随访复查。
Q:为什么要进行新辅助化疗?
A:术前进行新辅助化疗有4个主要目标:1. 进行全身肿瘤控制,骨肉瘤是高度恶性骨肿瘤,易早期经血运转移,化疗能进行全身控制,降低全身循环肿瘤细胞;2. 使局部肿瘤缩小降级,减少对重要血管神经的压迫,提高保肢手术的成功率;3. 手术后评估肿瘤坏死率从而评估肿瘤对化疗药物有效率,为术后化疗方案提供依据。
Q:为什么要使用关节假体保肢?
A:根据恶性骨肿瘤的根治性切除原则,手术中必须严格按照根治性切除的范围整块切除肿瘤。切除后会遗留较大的骨关节缺损,需要有个既有足够刚度和强度又能恢复关节功能的移植物来重建缺损处。人工假体是目前最安全有效,使用场景最广,相对经济实惠的重建方法。
Q:儿童四肢恶性肿瘤保肢有什么特殊?有什么解决策略?
A:儿童四肢恶性肿瘤保肢治疗有两大挑战:1. 儿童骨关节尺寸非常小,不适用成人人工关节假体,需要特别订制特殊规格的人工假体;2. 儿童骨关节发育不完全,关节尺寸和外形随着时间变化会非常大,而以往常用的人工金属假体外形固定不变,等患者成年后会造成双下肢不等长,假体松动等并发症。为了解决以上难题,我中心根据临床经验,建立多模式的保肢策略,设计了多种新型关节假体,包括半膝关节假体、保留骨骺假体、可延长假体等,通过尽可能保留完整的关节,使保肢部位能动态匹配患者肢体,共同成长,减少身体残障,提高生活质量。
Q:患者术后如何进行康复锻炼?
A:康复锻炼包含四个阶段。第一阶段:术后第1~14天。膝关节佩戴支具固定于伸直位。以踝泵活动、和股四头肌等长收缩为主,逐步恢复膝关节周围肌肉力量。第二阶段:术后3~6周。膝关节在可调支具保护下逐步恢复活动度0-90°。每周增大30°。第三阶段:术后第7~14周,在可调支具和助步器(拐杖)辅助下逐步恢复站立和慢步行走。第四阶段:术后4-6个月。逐步脱拐恢复正常步态。
上海市徐汇区宜山东路7951号
13712345678
zhangss@yjs.edu