临床医疗特色
病史简介
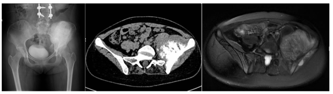
来自江苏的20岁小瑶同学,2022年12月因“腹部肿痛加重不适,无法下地行走”入院的。患者既往有脊柱侧弯手术病史。2022年11月份因盆腹部肿胀疼痛在当地医院接受检查,提示骨盆肿瘤占位。因骨盆肿瘤治疗难度大,辗转多家医院后,最终来到上海市第一人民医院骨肿瘤科。孙伟主任接诊患者后,考虑骨盆恶性骨肿瘤,立即安排住院治疗,入院后完善检查,包括骨盆骨盆X线、骨盆CT、骨盆MR和胸部CT等。

图:骨盆X线、CT和MR:左侧骨盆巨大肿瘤占位(I+II+IV区),左侧髂骨翼为中心的骨质破坏,周围巨大软组织肿块影,最大层面径线约为117*76*72mm。
诊疗过程
活检穿刺:
患者年龄20岁,临床症状肿胀疼痛;左侧骨盆部位肿块质硬,活动度差。影像学表现为肿瘤位于骨盆部位,髂骨骨质破坏伴有瘤骨形成,肿瘤有软组织肿块。综上,考虑骨盆骨肉瘤。行穿刺活检,明确病理诊断。
穿刺活检病理:(左侧骨盆)普通型骨肉瘤,倾向软骨母细胞细胞型。
术前新辅助化疗:
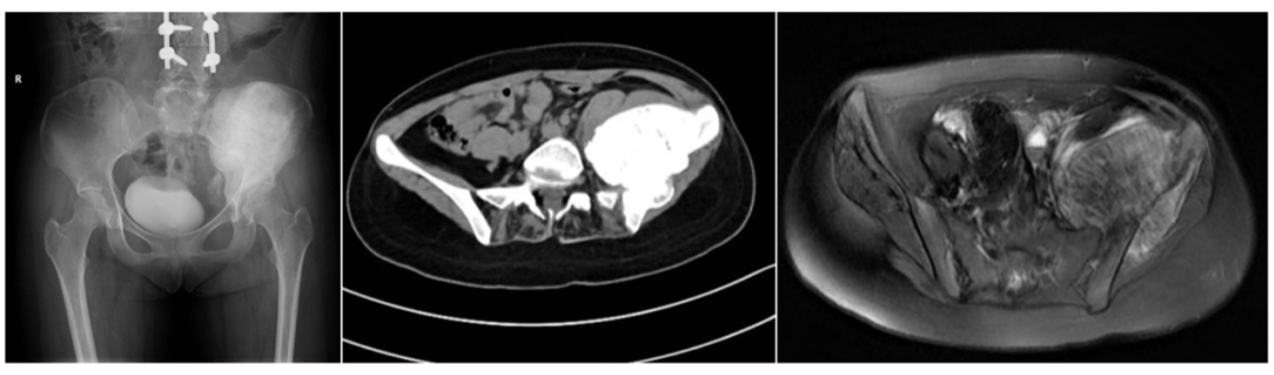
根据骨肉瘤循证诊疗指南,给予患者术前新辅助化疗,MAP方案化疗4次,化疗药物包括脂质体阿霉素,顺铂和大剂量甲氨蝶呤。
患者临床疼痛症状减退,影像学上骨盆部位肿瘤钙化增加,边界清晰,肺部未见转移,新辅助化疗效果评估有效。

图:新辅助化疗后骨盆X线、CT和MR:左侧髂骨翼的肿瘤未见明显缩小,肿瘤内钙化明显增加,边界清晰。
手术方案
累及I区+II区+部分IV区的巨大骨肉瘤,重建方法包括半骨盆假体重建、髋关节旷置术等。累及I区+II区+部分IV区半骨盆假体重建假体并发症发生率高,如感染、假体脱位、机械断裂等,近期和远期功能也较差;髋关节旷置术下肢明显短缩,术后功能较差,目前没有一种理想的重建方法。
针对这例患者年纪轻,功能要求高;肿瘤切除后软组织和骨骼缺损多,半骨盆假体重建会有伤口愈合和感染等临床问题。因此,我们团队设计了一种新型骨盆生物重建的节段假体(专利号CN202222527347.4),解决单纯髋关节旷置术后下肢不等长和半骨盆假体术后并发症多等临床问题。

图:采集患者骨盆部位数据,新型骨盆生物重建的节段假体的术前设计图稿
患者完善术前评估,启动骨肿瘤复杂肿瘤的MDT讨论,经过麻醉科、泌尿科、血管外科、重症医学科和输血科的联合会诊评估,制定切实可行的手术方案。2023年3月23日行骨盆肿瘤切除重建术,顺利完成骨盆肿瘤的完整切除、假体置入和软组织修复,术中出血800ml。术后2周内,患者顺利拔除引流,伤口愈合良好,在康复科协助下行主被动下肢屈伸活动;术后2~6月,逐步下地负重,助行器下辅助行走;术后6月后,患者可以独立扶拐行走。

图:患者术后复片,骨盆肿瘤切除术后,假体位置良好;骨盆切除术后标本。
术后化疗及随访
术后病理:(左侧骨盆)普通型骨肉瘤,软骨母细胞型。肿瘤坏死率约30%。
术后使用IMAP方案化疗10个周期,化疗药物包括脂质体阿霉素,顺铂、大剂量甲氨蝶呤和异环磷酰胺。2023年12月患者顺利结疗。
患者结疗后规律随访,行常规检查后,肺部和肿瘤部位无转移和复发,患者功能良好。
总结讨论
半骨盆截肢术:半骨盆截肢术对患者和家属心理造成巨大创伤,也会给其家庭和社会造成严重影响。随着影像学诊断及外科切除技术的发展,目前大多数骨盆恶性肿瘤患者可以实施保肢手术,在完整切除肿瘤的同时保留患侧肢体。但是,对于少数肿瘤巨大、血管神经累及和无法或得安全切除边缘的患者,半骨盆截肢术仍然一个可靠的选择。
髋关节旷置术:骨盆肿瘤髋关节旷置术1978年由Steel等报道,骨盆肿瘤髋关节旷置术操作相对简单;创伤小,并发症少。但是,旷置的主要缺点有肢体短缩、行走时跛行严重、脊柱发生代偿性侧弯等。
半骨盆假体置换:是骨盆肿瘤切除后骨缺损重建的主要重建方法,尤其是随着影像学和计算机辅助技术的进步,定制型半骨盆的精度越来越高,术前可以完全模拟出缺损的范围并根据缺损范围制作出相应的半骨盆假体。人工半骨盆假体重建早期可达到坚强固定,早期负重行走,功能恢复较快,但后期可出现迟发性感染、假体松动、螺钉断裂、关节脱位等并发症。
针对髋关节旷置术和半骨盆假体置换的临床优缺点,我们团队设计新型的髋移位假体,可以解决髋关节旷置术后下肢不等长,半骨盆假体置换术后感染和机械失败等临床问题。该假体体积小,可以有效减少由于软组织缺损多引起的切口愈合不良和感染的并发症,同时可以根据患者个体差异,重建患者下肢长度,解决术后下肢不等长的临床问题。主要适用于I+II+IV区骨盆恶性肿瘤,尤其是骨盆肿瘤伴有巨大软组织肿块的患者。目前,该假体重建的纳入病例较少,随访时间较短,临床疗效还需要进一步随访观察。
上海市徐汇区宜山东路7951号
13712345678
zhangss@yjs.edu