临床医疗特色
背景介绍
骨样骨瘤是一种常见于青少年和年轻男性的良性骨肿瘤,主要症状为夜间加重的疼痛,且通常对非甾体抗炎药敏感。随着医疗技术的进步,其治疗策略已从传统的开放手术演变为现代微创技术,显著提升了治疗效果和患者的生活质量。
在影像学技术尚未普及之前,骨样骨瘤的治疗主要依赖开放手术,通过完全切除病灶及周围少量正常骨组织来实现治愈。这种方法的优点是肿瘤清除彻底,复发率低,但缺点是创伤大、恢复时间长,可能导致术后骨骼功能受损。
随着CT、MRI等影像学技术的出现,骨样骨瘤的精确定位成为可能,这为微创治疗提供了基础。其中,射频消融成为治疗骨样骨瘤的首选方法之一。它具有微创、安全、恢复快且治疗成功率高的优点。然而对于骨质硬化明显的区域,热量传导可能不良,导致消融范围受限或软组织损伤。
为了进一步提升治疗的精准度和效果,导航或机器人技术被引入骨样骨瘤的治疗中。这类技术引导治疗工具精确到达病灶,提高手术精准度,缩短手术时间。但仍存在软组织安全性、控温不精准以及对于较大瘤巢处理不彻底等问题。
为了克服这些缺点,新一代的智能控温射频消融技术OsteocoolTM出现。它具有同轴双极、精准预测消融范围等专利特点,成为治疗骨样骨瘤的有力工具。然而对于部分病程较长、病灶以皮质及骨膜为主、瘤巢较大的患者,单纯射频消融的效果可能不佳。
为此,导航下超声骨刀+射频消融的治疗模式应运而生。超声骨刀技术具有强大的加速度,能够轻松击碎骨组织,同时防止超声能量传递给软组织造成损伤。在导航引导下,超声骨刀可以经皮穿刺到达病灶骨面,磨穿增厚的骨皮质到瘤巢区域,配合射频消融进行治疗。这种方法对于皮质区域的骨样骨瘤和关节内的病灶具有非常有效的治疗作用。针对不同类型的骨样骨瘤,我们也提出了相应的治疗策略。
导航下OC射频消融病例
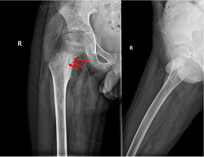
男性,20岁,因“左侧髋部疼痛不适一年余”就诊,一年前因入校军训后开始出现间歇性疼痛不适,夜间疼痛明显,口服止痛药物可以缓解,一年来逐渐加重,不敢患侧用力,不能进行体育活动,患者下肢出现肌肉萎缩。于外地多家医院就诊,行股骨X线、CT及MRI检查,诊断为“筋膜炎”、股骨骨岛、“骨样骨瘤可能”,无法确诊,患者日常生活困扰较大,后于我院就诊。
入院后诊断为中心型股骨髓腔骨样骨瘤,本型临床症状不如皮质型明显,部分患者疼痛隐匿,单纯射频消融效果较好。入院后第二天全身麻醉后导航下行左侧股骨病灶射频消融术,选择消融针尺寸为15毫米,消融时间11分30秒。术后第二天患者自诉原有疼痛不适症状缓解90%。术后复查MRI可见骨内明显的椭圆形消融范围,精准对应了23*19毫米的消融范围。

图1:股骨X线可见左侧股骨瘤巢形成及炎性成骨

图2:术前CT及MRI见髓腔内松质骨内的瘤巢及周围明显的成骨反应,MRI水肿反应不如骨膜及皮质骨型明显

图3:术中影像及手术穿刺口

图4:术后CT复查,瘤巢消融位置

图5: 术后一个月复诊MRI,显示消融范围与术前计划一致
导航下超声骨刀磨除病例
男性,17岁,因“左小腿疼痛10月余”就诊,患者10月前无明显诱因开始出现间歇性疼痛不适,夜间疼痛明显,口服塞来昔布可以缓解,逐渐加重。于当地医院就诊,行胫骨X线、CT及MRI检查,诊断为骨样骨瘤,当地医生无法确定,遂介绍至我院就诊。术前考虑患者为皮质型骨样骨瘤,瘤巢刺激骨皮质,胫骨内侧骨皮质增厚伴瘤巢形成,疼痛较为明显,但局部骨质太硬,单纯射频消融可能无法奏效,热量无法传导,导致消融范围失效,遂考虑采用导航下行左侧胫骨病灶超声骨刀磨除术的策略,采用水木天蓬超声骨刀铣刀头搭载Suretack连接S8导航系统。术后第二天患者自诉原有夜间疼痛有缓解,术后一个月基本感觉不到原来的疼痛。术后复查CT可见骨内明显的磨除隧道。

图6:术前左侧胫骨中下段影像检查提示骨皮质增厚

图8:术中导航及超声骨刀磨除

图9:术后复查CT见超声骨刀磨除的隧道
导航下超声骨刀磨除+射频消融治疗关节内骨样骨瘤病例
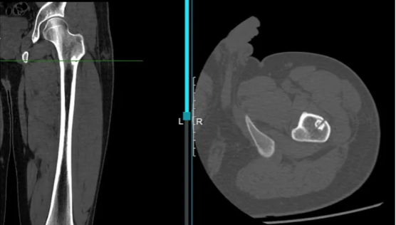
患者,男性,7岁,广东籍,因“右下肢跛行伴髋关节积液5月余”就诊,患者5月前无明显诱因开始出现右侧髋部及膝盖不适,夜间疼痛明显,逐渐加重,出现跛行。于当地医院就诊,行股骨X线、CT及MRI检查,诊断为髋关节炎,髋关节积液,当地医生无法确定,遂行全身麻醉穿刺抽液后无改善。至外省级医院就诊,考虑骨样骨瘤可能大。至我院就诊,门诊髋关节三维CT显示右侧髋部股骨颈内后方瘤巢,超过一公分。术前考虑:患者关节内骨样骨瘤,瘤巢刺激骨皮质,胫骨内侧骨皮质增厚伴瘤巢形成,疼痛较为明显,但局部骨质太硬,单纯射频消融可能无法奏效,热量无法传导,此外大量关节积液也可能导致消融范围失效;病灶较大,一次穿刺消融很难解决瘤巢,导航下实时磨除+消融可能是解决办法。遂考虑采用俯卧位下导航下行股骨颈病灶超声骨刀磨除术的策略,采用水木天蓬超声骨刀磨头头连接Suretrack连接S8导航系统,结合OsteoCoolTM射频消融。手术最大的风险在于后方穿刺需要避免损伤坐骨神经,需要轻柔操作,必要时结合B超引导鉴别,同时在使用超声骨刀的时候也需要避免神经、皮肤的热损伤。
术后第二天患者自诉原有夜间疼痛有缓解,术后一个月基本感觉不到原来的疼痛。术后复查CT可见股骨颈内明显的磨除隧道,原病灶被磨除+射频消融。术后居家休息两周后恢复正常行走,三周后上学。

图10:术前X光见右侧股骨颈内侧透亮区,边缘硬化

图11:三维CT可见明确瘤巢,髋关节大量积液

图12:髋关节核磁显示股骨近端广泛水肿,伴大量髋关节积液

图13:微创术前术后CT对比及手术伤口
总结讨论
骨样骨瘤是常因诊断困难、处理困难是临床常见的容易漏诊、误诊的疑难杂症,保守治疗很难自愈,而O-Arm导航下osteocoolTM射频消融及超声骨刀磨除是治疗骨样骨瘤的安全、微创而高效的技术手段,对于单纯骨松质中心型的骨样骨瘤单纯消融有效率较高,但是对于病程时间超过一年、瘤巢大、位于皮质周围硬化为主的及关节内的骨样骨瘤患者常需要联合超声骨刀的瘤巢清理,导航的应用能快速精确定位病灶,导航下超声骨刀的使用可更有效、彻底清除瘤巢,提高疗效。本中心每年处理该种病患超过50例,目前诊治量及诊治水平位居全国前列。
上海市徐汇区宜山东路7951号
13712345678
zhangss@yjs.edu