临床医疗特色
基本情况
患者男性,36岁,7年前因左侧大腿疼痛就诊于外院,诊断为左股骨远端良性病变(骨纤维结构不良),7年内2次行肿瘤刮除+自体髂骨植骨术,术区骨质吸收,愈合不良。近1月来患者无诱因下左膝关节疼痛,活动后加剧,VAS评分4分,局部皮肤无发红,皮温正常。患者为求进一步治疗,门诊收入病房。

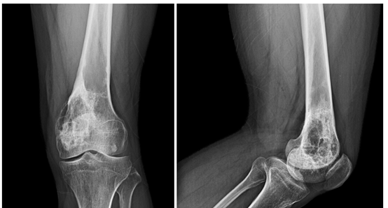
患者入院后摄片,左膝关节X线片示:左股骨远端见片状偏心性不均匀密度增高影,累及高度近10cm,局部骨皮质增厚、局部骨皮质变薄欠连续,病灶局部见硬化边。
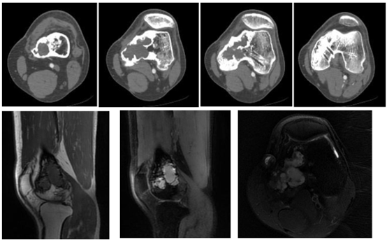
膝关节CT示:左股骨下段见不规则骨质破坏,大小约59*36mm,局部骨皮质增厚、局部骨皮质变薄欠连续,病灶局部见硬化边。
膝关节MRI示:左侧股骨下段及内侧髁见多斑片状不规则异常信号影,T1WI低,T2WI/PD,脂肪抑制高信号,边缘清晰,骨髓腔未见明显水肿改变。周围软组织未见肿胀。
初步诊断:纤维结构不良术后复发
病情分析
该患者是一名青壮年男性,因股骨远端良性肿瘤刮除植骨术后局部骨质吸收,愈合不良,虽经7年内经历2次手术治疗,但仍然出现股骨远端骨质吸收严重,愈合不良,本次就诊时股骨远端术区仍然存在不规则骨质缺损,局部骨皮质增厚硬化、局部变薄连续性中断。既往2次手术均取自体髂骨填充,本次入院后患者拒绝再次取自体髂骨。
面对本次骨缺损情况,骨肿瘤科孙梦熊主任考虑目前该患者已难以通过包括植骨、骨段移植等现有的骨缺损治疗方案进行治疗。随着定制化3D打印假体逐渐在临床上广泛应用,它可根据病人情况,量体裁衣式制作出专属病人个体的植入物,这种植入物,不单是量体裁衣式个性化定制金属内植物,更是通过3D打印特有技术模拟人体骨小梁节结构,诱导骨头长入,最终与人体本体骨骼融为一体。
最终,在与患者充分沟通及知情同意,决定采用生物3D打印个性化假体对其肿瘤切除后的骨缺损进行修复重建。在与和医疗工程技术人员医工讨论后,产学研协同,经过多次调整,通过生物3D打印制备了与骨缺损形态匹配精准定植的个性化骨缺损填充假体。


术中情况
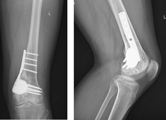
术中本以为在3D技术可以精准的匹配患者骨缺损区域,但患者骨质畸形,其解剖标志、内部结构都异于常规,最终克服重重困难,成功植入3D打印假体,并通过外接钢板固定方式将假体和自体骨连接一体。患者的成功救治离不开数智医学的有力加持。3D打印技术对伤病造成的巨大骨缺损问题,一方面解决了骨缺损修复重建术中内植物的个体化定制,更为重要的是内植物可被加工成微孔结构以供骨组织长入,微孔结构内长入骨组织就意味内植物可以与相邻骨骼实现有效融合,这一特性在此类骨科疾病治疗中至关重要。

术后病理:镜下见显著增生的短梭形细胞中散在少量骨样组织,周围可见异物肉芽肿,细胞文件明显异型,考虑纤维骨性病变或纤维瘤样改变,建议密切随访。免疫组化:CD34-,Desmin-,EMA-,S100-,SOX10-,Ki67(1%+),SATB2+。
术后随访
术后一个月患者佩戴膝关节支具下地行走,术后2个月患者不佩戴任何支具自由活动,生活完全自理。术后3个月,患者完全回归正常工作,可以远足、登山。术后至今已达1年,更长期的随访结果仍在继续。影像学检查示3个月时即可看到假体两端周围的较多量骨组织包绕,随时间延长,内植物周围骨包绕的征象越来约明显。

术后1年随访:摄片示假体和自体骨骼整合较好,患者膝关节功能完全正常,VAS评分0分。

总结思考
骨缺损的修复一直沿用骨组织移植并最终通过相邻宿主骨与移植骨连接,然后逐渐替代移植骨而最终完成骨修复和整合。或使用近年研发的“人工骨”(多为羟基磷灰石、硫酸钙等材料)。然而,对于巨大骨缺损,上述修复过程长达数月、甚至数年,并且因植入骨的即刻稳定性差,致使在漫长的骨修复期间患者丧失正常生活和工作的能力。此外,用以作为骨修复材料的骨组织来源有限且存在弊端,采用自体取骨会对患者造成新的创伤,采用异体骨有疾病传染之虑,采用人工骨,疗效存疑。
3D 打印个性化定制,通过应用不同类型的材料进行建模,能够为患者量身定做,与骨缺损区域完美结合,很大程度上避免了二次手术和感染的风险,加速骨愈合,提高了患者的治疗满意度。
上海市徐汇区宜山东路7951号
13712345678
zhangss@yjs.edu