临床医疗特色
基本情况
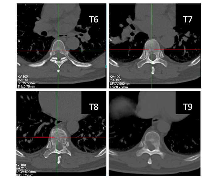
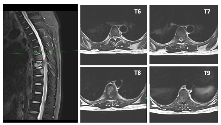
患者男性,62岁,半年前无明显诱因出现胸背部剧烈疼痛,伴下肢无力,严重影响了正常生活。就诊福建当地医院,胸部CT示:右肺下叶前基底段占位,右肺上叶后段类结节样影;T6-9椎体及部分附件多发骨质破坏。骨显像结果示:T6-9椎体显像剂摄取增高,考虑骨转移可能。遂于当地医院行肺部穿刺:(右下叶外基底段活检)结合免疫组化结果倾向腺癌。患者为行进一步治疗,至我院门诊收入病房。



初步诊断:
1.T6-9胸椎继发恶性肿瘤(VAS 8分,SINS 11分, ESCC 1c,Tomita 6分,改良Tokuhashi 5分 )
2.肺腺癌(Ⅳ期,T4N1M1)
病情分析
在许多人眼中,一旦恶性肿瘤发生脊柱转移,尤其是涉及多个节段时,治疗便变得格外复杂和困难。但随着医学技术和精准治疗理念的不断发展,我们对这类患者的治疗手段已逐渐多样化,且更具精确性。
我们组建了骨肿瘤科、肿瘤内科、胸外科、放疗科等多个学科的联合诊疗团队,共同为患者制定了个性化的治疗方案。经过全面评估,最终决定实施精准手术与综合治疗相结合的诊疗策略。
精准手术方案:后路减压固定+分离手术+病灶射频消融。患者为肺癌晚期,经影像学证实T6-9椎体呈现不同程度的骨质破坏。此次手术方案考虑到多个椎体的不同类型及不同程度的骨质破坏,特别是胸椎T8伴有压缩性骨折且侵犯椎管。通过仔细全面的术前评估,我们为患者制定了个性化的手术方案,对于T6、T7和T9椎体,采用了射频消融技术,精准靶向骨转移病灶,有效地控制了局部肿瘤进展,同时减少了不必要的组织损伤。对于T8椎体,考虑到压缩性骨折及椎管侵犯,我们进行了后路减压固定+分离手术,减轻了神经压迫,恢复了椎体稳定性,并配合椎体病灶消融,以确保治疗效果的最大化。这种精细化的手术方案,不仅充分处理了病灶,还最大程度减少了手术创伤,为患者提供了更为安全的治疗选择,术后恢复良好。
术中情况
手术在O臂引导下顺利进行,通过实时影像引导精确定位和操作,我们在术中准确地对病灶区域进行了射频消融,确保了病灶的彻底消融,并避免了周围正常组织的损伤。椎体置钉过程中,O臂影像帮助我们确保了固定的稳定性和精确性。随后,对T8病灶进行了椎板减压及分离手术,进一步消除了压迫,恢复了脊柱的功能。


术后病理:(胸椎肿瘤)骨转移性低分化癌,结合病史及免疫组化结果,符合肺腺癌转移。
免疫组化结果:CK (+),CK7 (+),CK20 (-),CEA(部分+),TTF-1 (-),Napsin-A (+),P40 (-),CK5/6(-),CD56 (-),Villin (-)。
综合治疗
精准放疗与靶向治疗的联合应用
术后患者的疼痛明显缓解(术后第3天VAS 4分),下肢无力的症状也得到了显著改善,术后2周便可在支具保护下拄拐行走,逐步恢复了生活自理能力。
术后的治疗方案依然注重个性化,我们通过多学科团队的紧密合作,为患者制定了精准的放疗方案,进行了6次局部放疗(总剂量36Gy),进一步控制了脊柱转移瘤的生长,增强了局部控制率,减少了复发的风险。
此外,患者进入我院肿瘤内科进行肺癌的系统治疗,包括化疗和靶向治疗。根据术后病理及基因检测结果(EGFR exon21 c.2573T>G p.858R,24.49%;MSS),制定了具体的治疗方案:培美曲塞二钠联合卡铂化疗,并辅以靶向治疗伏美替尼。靶向药物精准作用于肿瘤的特定靶点,有效抑制肿瘤细胞增殖,化疗则进一步控制了全身转移。


术后随访
术后半年,患者按期进行了复查,胸椎的局部控制效果好,未见新的病灶出现,T8椎管未见明显狭窄,患者的疼痛症状持续缓解(VAS 3分)。更令人振奋的是,肺部原发病灶也有明显缩小,肿瘤负担大大减轻。患者表示,术后的疼痛得到了有效缓解,能够恢复正常的生活和工作,这使他重新找到了生活的希望。

总结思考
通过本例肺癌多节段脊柱转移的治疗,我们深刻体会到精准医疗与多学科合作在复杂疾病管理中的重要性。手术过程中,通过O臂引导实现了精准的椎体病灶消融与椎体置钉,确保了手术的高效性与安全性,尤其是在T8椎体的压缩性骨折及椎管侵犯的治疗中,后路减压固定和分离手术有效解决了神经压迫问题,恢复了脊柱的稳定性。
面对多节段、不同类型的骨转移,如何整合影像学技术、微创手术和传统手术的优势,制定个性化的精准治疗方案,是未来我们继续探索的方向。同时,多学科协作的治疗模式对患者的综合治疗方案至关重要,为每位患者提供量身定制的最佳治疗方案。
随着医学技术的不断进步,尤其是在影像学和微创技术方面的创新,骨转移瘤的治疗前景越来越广阔。我们有理由相信,精准治疗将在提高患者生存质量、延长生存时间方面发挥更加重要的作用,为患者带来更多希望。
上海市徐汇区宜山东路7951号
13712345678
zhangss@yjs.edu