临床医疗特色
基本情况
患者男性,74岁,退休在家,1月前无明显诱因突发上背部疼痛,起始为隐痛,后出现双下肢无力(肌力3级+),双下肢针刺感,走路踩棉花感。无恶心、呕吐,无头晕头痛。于当地医院就诊,行CT,MRI示颈胸段(T4-T6)椎管内占位。

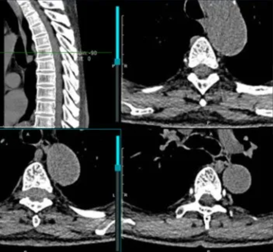
CT:T4-6椎管内硬膜囊结构消失伴软组织密度增高,向相应双侧神经孔延伸,相应骨性椎管未见破坏。

MRI:T4-6后方偏左侧见椎管内髓外异常信号影,T2WI呈高信号,大小约8*9mm,上下径约50mm,相应节段脊髓受压。

Dixon处理后可见肿瘤中部主要为液体,两端有少量脂肪浸润。
初步考虑:
T4-T6硬膜外良性肿瘤(考虑血管瘤),Frankel分级C级(不全瘫),需行手术治疗。
手术方案
后路胸椎良性肿瘤切除减压椎板回植术

上左:暴露T4-T6椎板;上中:超声骨刀椎板切开,见硬膜外肿瘤;上右:肿瘤标本;下左:肿瘤切除后显露硬膜囊;下中:Arch钢板固定;下右:椎板回植后
术后3天引流50ml以下拔除引流管,术后复查X线:

T4-6椎板回植术后,椎板、棘突序列正常
术后病理符合血管瘤,免疫组化示主要为血管内皮细胞成分,无脂肪成分
术后随访
患者的疼痛、双下肢乏力,踩棉花感症状完全缓解。患者恢复正常生活。

术后2个月随访
病例分析
这是一例典型的椎管内,硬膜外海绵状血管瘤(CH,Cavernous Hemangioma),也称为海绵状血管畸形、海绵状血管症或血管瘤。约占脊柱硬膜外肿瘤的4%,通常(80%)发生在胸椎区域,通常跨越2个或更多的节段,并且经常延伸到相邻的神经孔。
临床表现主要由于直接压迫脊髓或神经根,导致的背痛和/或根性疼痛,急性出血可导致下肢瘫痪等严重症状。
病灶是由单层内皮细胞构成的扩张血管通道组成的血管畸形。对于该疾病的发生过程尚不完全明了,主流解释是中胚层发育不良的窦状血管形成的血管畸形。中枢神经系统中大多数位于颅内。脊柱的海绵状血管畸形可以是脊髓内的、硬膜内的、硬膜外的或椎体内的,年出血概率为1.4%-4.5%。

典型影像、病理学特征:MRI见平行脊椎长轴生长的两头尖锐的纺锤形改变(毛笔尖征)(左),由于脊柱背侧硬膜外间隙上下连贯,内含有丰富的疏松的脂肪组织,因此相对空间较大、扩张阻力小,同时可于椎间孔蔓延(右上)。病理切片(HE染色):44×低倍放大镜下的病理照片,显示病变内有紧邻的薄壁血管空间,内充满血液(右中)。110×高倍的放大镜下,显示血管空间的平坦内皮衬里,以及不规则纤维间隔中的小脂肪细胞灶(箭头所指)(右下)。
鉴别诊断:与之非常相似的一个肿瘤是脊柱硬膜外血管脂肪瘤,发病率较低,在椎管内肿瘤占0.14%~0.8%,同样好发于胸椎、沿着脊髓纵轴方向生长,是由早期多能干细胞在向椎弓方向移行过程中形成的, 而胸段椎弓骨化较早,因此多见。相比海绵状血管瘤出血风险较小,一般进展缓慢,择期手术为主。

典型影像、病理学特征:MRI可见混合信号:脂肪、血管成分在同一区域内并存,与海绵状血管瘤相比为混杂信号且边界模糊欠规则(左)。病理成分相比含有较多脂肪细胞(右)。
总结思考
本病例结合临床症状与影像学检查,明确椎管内硬膜外海绵状血管瘤的诊断。在治疗选择上,手术切除是主要治疗手段,采取椎板回植重建,更好的恢复患者胸椎的活动度。术后症状缓解明显。该类疾病需与脊柱硬膜外血管脂肪瘤等相似病变进行鉴别,影像学和病理学特征是关键,凸显了多学科协作在诊断和治疗中的重要性。
参考文献:
1.Shivaprasad S, Shroff G, Campbell GA. Thoracic epidural cavernous hemangioma imaging and pathology. JAMA Neurol 2013; 70(9): 1196-7.
2.Reyes D, Candocia FJ. Thoracolumbar spinal angiolipoma demonstrating high signal on STIR imaging: a case report and review of the literature. Spine J 2013; 13(11): e1-5.
上海市徐汇区宜山东路7951号
13712345678
zhangss@yjs.edu