临床医疗特色
基本情况
假体置换是恶性骨与软组织肿瘤保肢重建的首选方法,能使肢体在术后短期内恢复满意的稳定性和功能。但是人工关节假体本身存在磨损和使用寿命。假体能用多久?使用寿命到期了会发生什么?到期后要做什么手术?是患者最关注最焦虑的几个问题。
女性,22岁,因为右膝关节疼痛2周余就诊,在外院X线摄片发现右侧股骨下段肿瘤。磁共振显示右侧股骨下段恶性骨肿瘤。至我院就诊,在X线摄片上可以看到在右侧股骨下段有局部肿瘤骨形成,密度较高,同时也能看到虫蚀样骨质破坏。磁共振图像也提示T1和T2加权都是低信号的肿瘤骨和T1低信号T2高信号的软组织肿物。

图示:术前影像
我们在神经阻滞麻醉下进行了穿刺活检,病理检查提示:右侧股骨侵袭性成骨肿瘤,倾向于骨肉瘤。根据骨肉瘤规范化治疗原则,术前接受了表柔比星、顺铂、异环玲酰胺和大剂量甲氨蝶呤新辅助化疗4次。后再全麻下按计划进行了肿瘤根治性切除+铰链式膝关节假体重建的保肢手术治疗。手术顺利,术后3天拔除引流管后患者开始康复锻炼。术后1周即可下床在拐杖辅助下行走。术后6个月能参加体育活动。后患者在术后7个月内完成了术后化疗,复查没有发现肿瘤转移或复发,肿瘤得到治愈,结束所有治疗。后定期复查正常,没有不适主诉。

图示:术后影像及随访
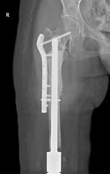
翻修方案
天有不测风云,在术后第七年患者因外伤导致右大腿畸形肿胀,活动障碍。遂至当地医院就诊摄片发现假体周围骨折。立即转运至我院,急诊给予手法复位+下肢牵引。

图示:假体周围骨折,急诊予以右下肢牵引
我们通过CT检查的影像数据建立三维模型,根据图像我们发现骨折处在膝关节假体髓腔杆的末端,是应力集中的部位,这个部位容易造成骨质的吸收和疲劳,导致骨折发生。如果保守治疗,发生骨折不愈合或再次骨折的风险极高。翻修手术是首选的治疗方案。手术有三大挑战:1)首先股骨上段长度较短,单靠髓内固定稳定性不够;2)其次股骨髓腔内残留的骨水泥清除比较困难;3)翻修后的肢体长度控制,在股骨长段缺损的情况下更换新假体,要精确控制双下肢长度相等。为应对挑战我们根据三维模型个性化订制了钢板和假体相结合的新假体。采用生物型髓腔杆,回植原套接在髓腔杆外的股骨段,在上下段加装钢板固定。术中使用超声骨刀对髓腔内侧参与骨水泥进行切割后清除。术后卧床支具固定四周后,在拐杖辅助下负重。

术后随访
患者术后9个月摄片复查骨折处已愈合,并且能够自主负重行走。


图示:翻修术后9个月随访
总结分析
1. 以肿瘤膝关节假体为代表的关节假体能用多久?
答:常规的人工膝关节假体是治疗膝关节骨关节病做膝关节表面置换的关节假体,平均寿命约为15-20年,部分患者可达到20年以上。用于骨肿瘤保肢手术的人工膝关节假体不同于常规膝关节假体,肿瘤膝关节假体替代的骨缺损段更长,采用髓腔内骨水泥固定,膝关节稳定性都集中在铰链装置上,这些特点使关节假体承受的应力更大,磨损更大,导致假体使用寿命显著缩短至10-15年。影响假体寿命的因素包括:体重、生活方式、肿瘤切除范围、感染、外伤等。
2. 假体使用寿命到期会发生什么?
答:人工关节假体不是定时炸弹,不会到某一个期限后突然失用。使用寿命是个参考期限,到了这个期限后并发症的发生率会相对提高,包括假体松动,假体磨损、假体断裂、假体周围骨折、假体脱位等。临床主要表现为肢体疼痛和关节活动受限,如果症状导致日常生活障碍就有再次手术指征。
3. 如果假体失用要做什么手术?
答:如果发生单纯假体失用,和肿瘤无关。则根据假体具体损坏的部位进行更换部件或整套假体。在彻底清除前次手术的骨水泥后,尽可能回植可用的自体骨,结合钢板内固定材料,使用生物型固定装置来固定假体。目前我们已成熟应用3D设计、3D打印等技术,能根据具体需求个性化订制关节假体,快速恢复患者肢体功能。
参考文献:
1.Zan P, Wang H, Cai Z, Shen J, Sun W. Revision surgeries for tumor endoprostheses around the knee joint: a mid-long-term follow-up of 20 cases. World J Surg Oncol. 2022 Mar 10;20(1):76.
2.Tang X, Guo W, Yang R, Yan T, Qu H. [Revision surgery for custom-made tumor prosthesis of knee joint]. Zhongguo Xiu Fu Chong Jian Wai Ke Za Zhi. 2010 Jan;24(1):5-10.
3.Li Z, Yu X, Xu M, Zheng K, Hou Z, Miao Z, Sun Y. Aseptic loosening of tumor prostheses in distal femur after revision surgery: a retrospective study. World J Surg Oncol. 2023 May 31;21(1):164.
4.Papakonstantinou E, Stamatopoulos A, I Athanasiadis D, Kenanidis E, Potoupnis M, Haidich AB, Tsiridis E. Limb-salvage surgery offers better five-year survival rate than amputation in patients with limb osteosarcoma treated with neoadjuvant chemotherapy. A systematic review and meta-analysis. J Bone Oncol. 2020 Sep 15;25:100319.
5.Pala E, Trovarelli G, Angelini A, Maraldi M, Berizzi A, Ruggieri P. Megaprosthesis of the knee in tumor and revision surgery. Acta Biomed. 2017 Jun 7;88(2S):129-138.
上海市徐汇区宜山东路7951号
13712345678
zhangss@yjs.edu