临床医疗特色

老年女性,58岁,2021年于外院诊断为宫颈癌,行广泛子宫切除+双侧附件切除+盆腔淋巴结清扫+腹主动脉旁淋巴结清扫术,术后病理提示为宫颈内生性低分化腺鳞癌,及盆部的放疗28次,术后化疗4次,但因化疗反应及疗效的综合问题停止。

患儿,12岁,活泼好动的男孩,因"左大腿疼痛2个月,加重伴肿胀1周"来我院就诊。起初家长以为只是生长痛或运动损伤,直到疼痛日益加重并出现局部肿胀才引起重视。

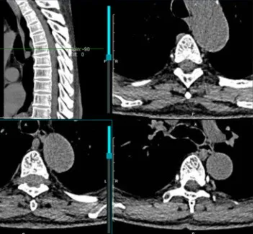
患者男性,36岁,家中主要劳动力,已婚已育。因“颈部僵硬不适,双上臂、背部牵拉疼痛5年余,加重1月”入院。

假体置换是恶性骨与软组织肿瘤保肢重建的首选方法,能使肢体在术后短期内恢复满意的稳定性和功能。

患者男性,74岁,退休在家,1月前无明显诱因突发上背部疼痛,起始为隐痛,后出现双下肢无力(肌力3级+),双下肢针刺感,走路踩棉花感。

多形性未分化肉瘤(Undifferentiated Pleomorphic Sarcoma,UPS)是一种高度侵袭性的软组织肉瘤,诊断和治疗均具有挑战性。

患者男性,62岁,半年前无明显诱因出现胸背部剧烈疼痛,伴下肢无力,严重影响了正常生活。

患者男性,36岁,7年前因左侧大腿疼痛就诊于外院,诊断为左股骨远端良性病变(骨纤维结构不良),7年内2次行肿瘤刮除+自体髂骨植骨术,术区骨质吸收,愈合不良。近1月来患者无诱因下左膝关节疼痛,活动后加剧,VAS评分4分,局部皮肤无发红,皮温正常

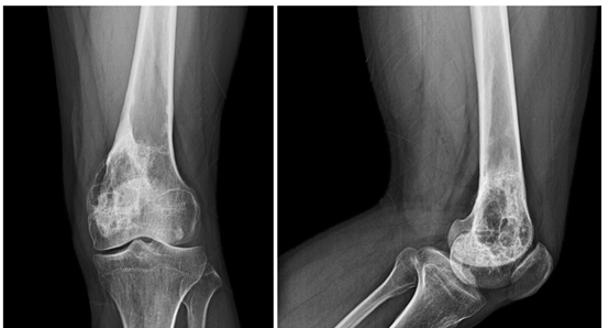
骨样骨瘤是一种常见于青少年和年轻男性的良性骨肿瘤,主要症状为夜间加重的疼痛,且通常对非甾体抗炎药敏感

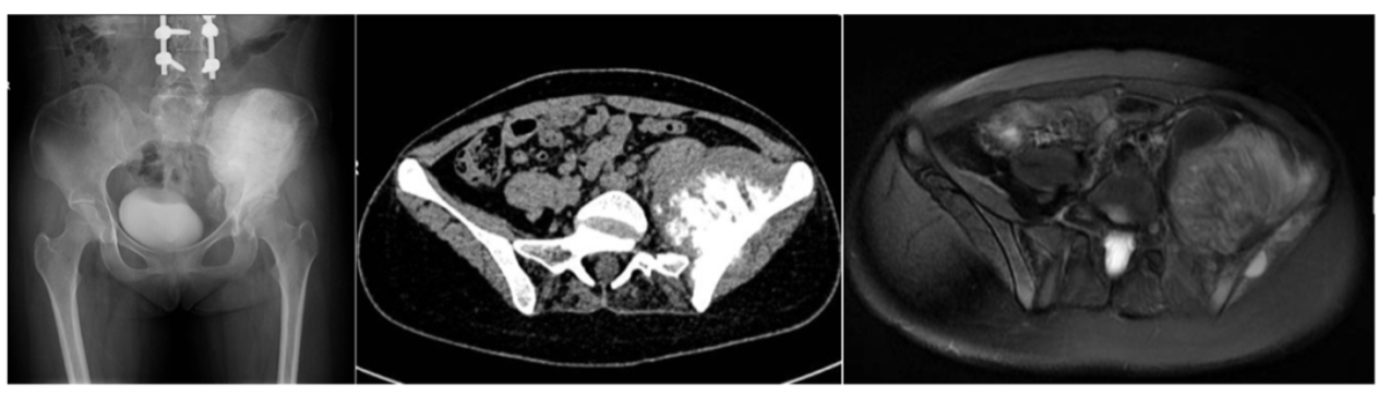
来自江苏的20岁小瑶同学,2022年12月因“腹部肿痛加重不适,无法下地行走”入院的。患者既往有脊柱侧弯手术病史
上海市徐汇区宜山东路7951号
13712345678
zhangss@yjs.edu