临床医疗特色

朗格汉斯细胞组织细胞增生症(Langerhans cell histiocytosis,LCH)原名组织细胞增生症,是由于树突状单核细胞增生所致,伴局部或广泛的器官浸润

奥运舞台,见证骨肉瘤治愈希望

脊髓海绵状血管瘤并不是真正意义上的肿瘤,而是一种脊髓血管畸形,是隐匿性血管畸形中最为常见的一种

60岁的黄女士本应在过轻松的退休生活,但她却再次“重”任在肩,过上了有负担的生活。

脊柱是恶性肿瘤转移最常见的部位,约30%~70%的恶性肿瘤患者会出现脊柱转移。脊柱转移瘤可导致局部疼痛、高钙血症、脊柱不稳、椎体病理性骨折、脊髓及神经根压迫症状,进而引起神经功能障碍甚至瘫痪,严重影响患者生存质量,加速死亡进程。

骨样骨瘤是一种孤立性的成骨性肿瘤,为第三大常见的良性骨肿瘤,仅次于内生软骨瘤及非骨化性纤维瘤。好发于5-30岁的儿童与青年(男女比例3:1),通常发生在长骨的骨皮质中。使用CT以及核素骨扫描是骨样骨瘤诊断的主要手段。

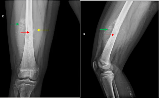
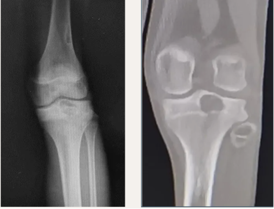
软骨母细胞瘤(chondroblastoma)为良性肿瘤,占所有骨肿瘤的比例不到1%,常发生于儿童和青少年,好发于长骨的骨骺:股骨、肱骨和胫骨。组织学上,软骨母细胞瘤由密集排列的软骨母细胞、多少不一的破骨细胞样巨细胞以及钙化的软骨样基质构成,软骨母细胞瘤的瘤细胞核中可见H3.3 K36M阳性表达。治疗上彻底刮除并辅助瘤腔处理是主要治疗手段,由于病变常位于骺板附近,手术治疗可能影响骨骼发育。

这是一位来自新疆维吾尔自治区的母亲的求助。年仅8岁的麦麦提是一位罹患骨肉瘤的患儿,而更加不幸的是当地确诊时已经出现了病理性骨折。在接受术前化疗后,制定下一步手术方案时遇到了难题。

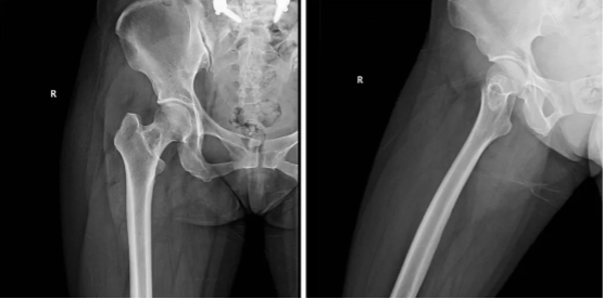
股骨近端包括股骨头、股骨颈以及股骨的粗隆部,是良性肿瘤尤其是瘤样病变的好发部位。主要以孤立性骨囊肿、骨样骨瘤、纤维结构不良等为主。良性肿瘤或肿瘤样病变是最常见的偶然发现的病变,在许多情况下,这些被称作为“沉默的病变”仅需要监视,而不是手术。不过作为负重关节的一部分,股骨的近端需要承受垂直应力及剪切应力,当这些病变位于股骨近端时容易产生病理性骨折,因此手术治疗往往是首选。而传统的手术方式包括刮除植骨内固定、骨水泥填充,极端的情况采用股骨近端关假体置换等,创伤较大,远期并发症如股骨头坏死、局部疼痛.松动翻修等,一直是骨肿瘤医生比较忌惮的手术部位。
上海市徐汇区宜山东路7951号
13712345678
zhangss@yjs.edu